Blog

念願のCT画像とスキャンデータとの統合


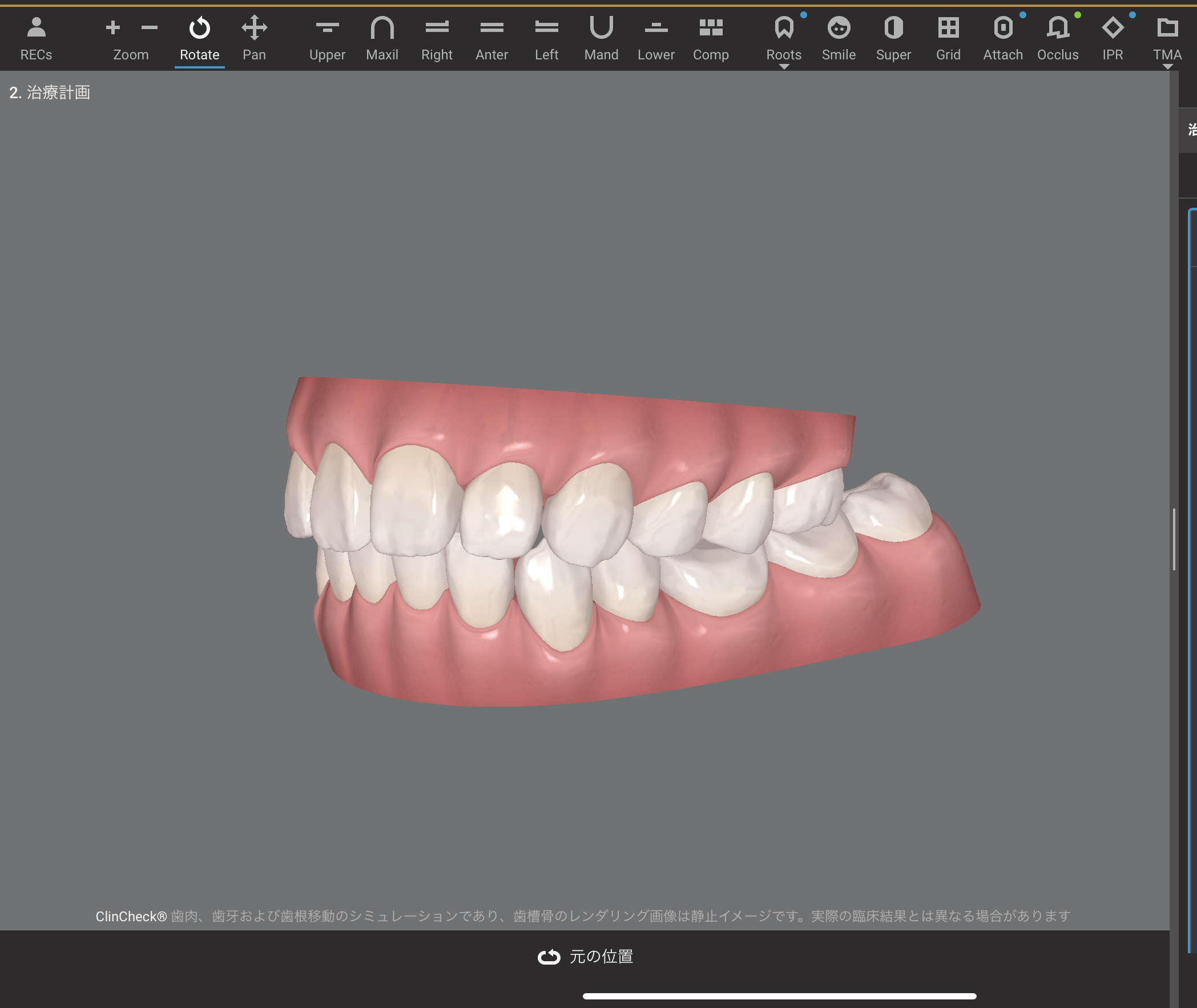
上の画像は根と顎の骨がない歯の見える部分(歯冠)だけのこれまでのシミュレーションソフト


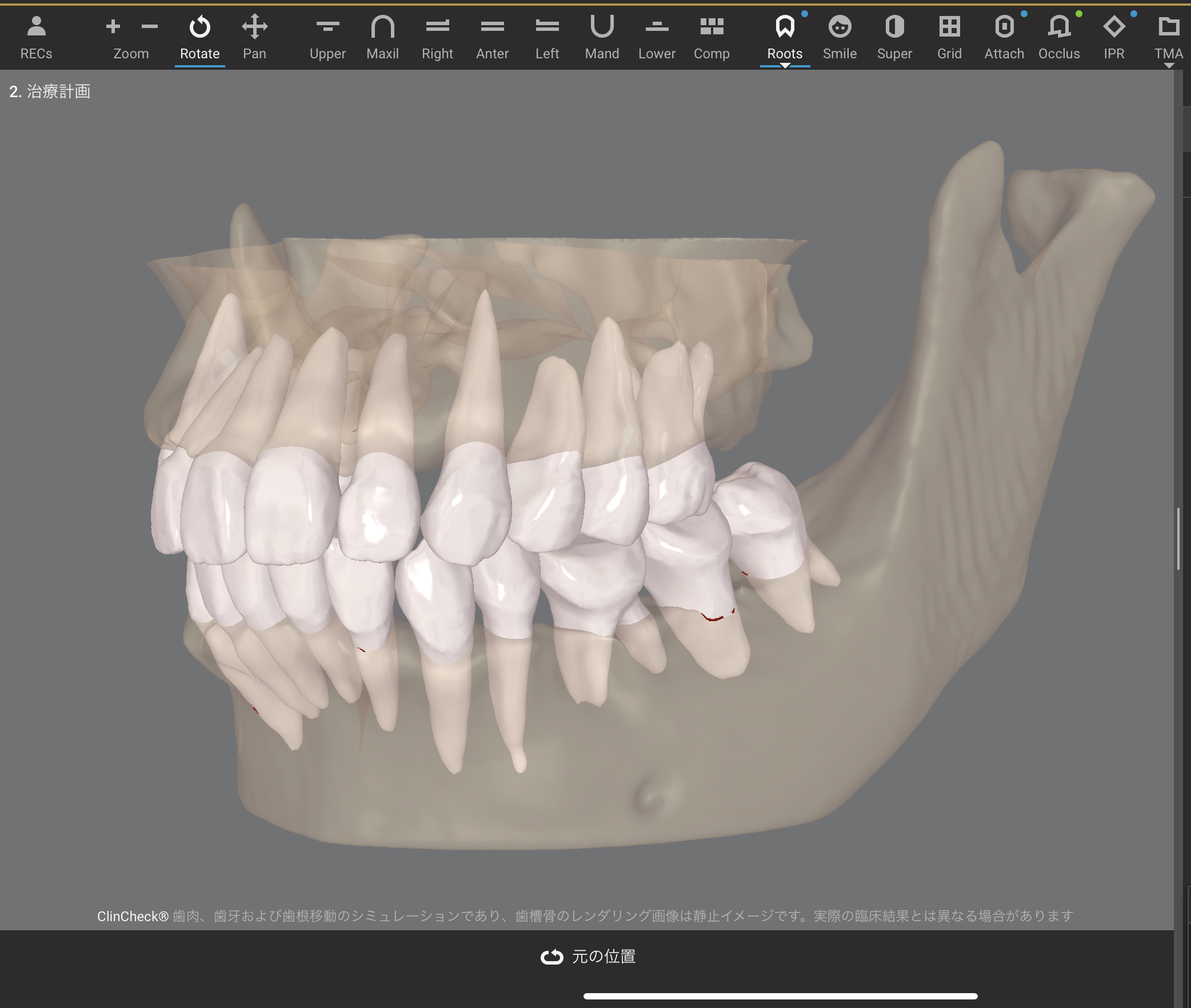
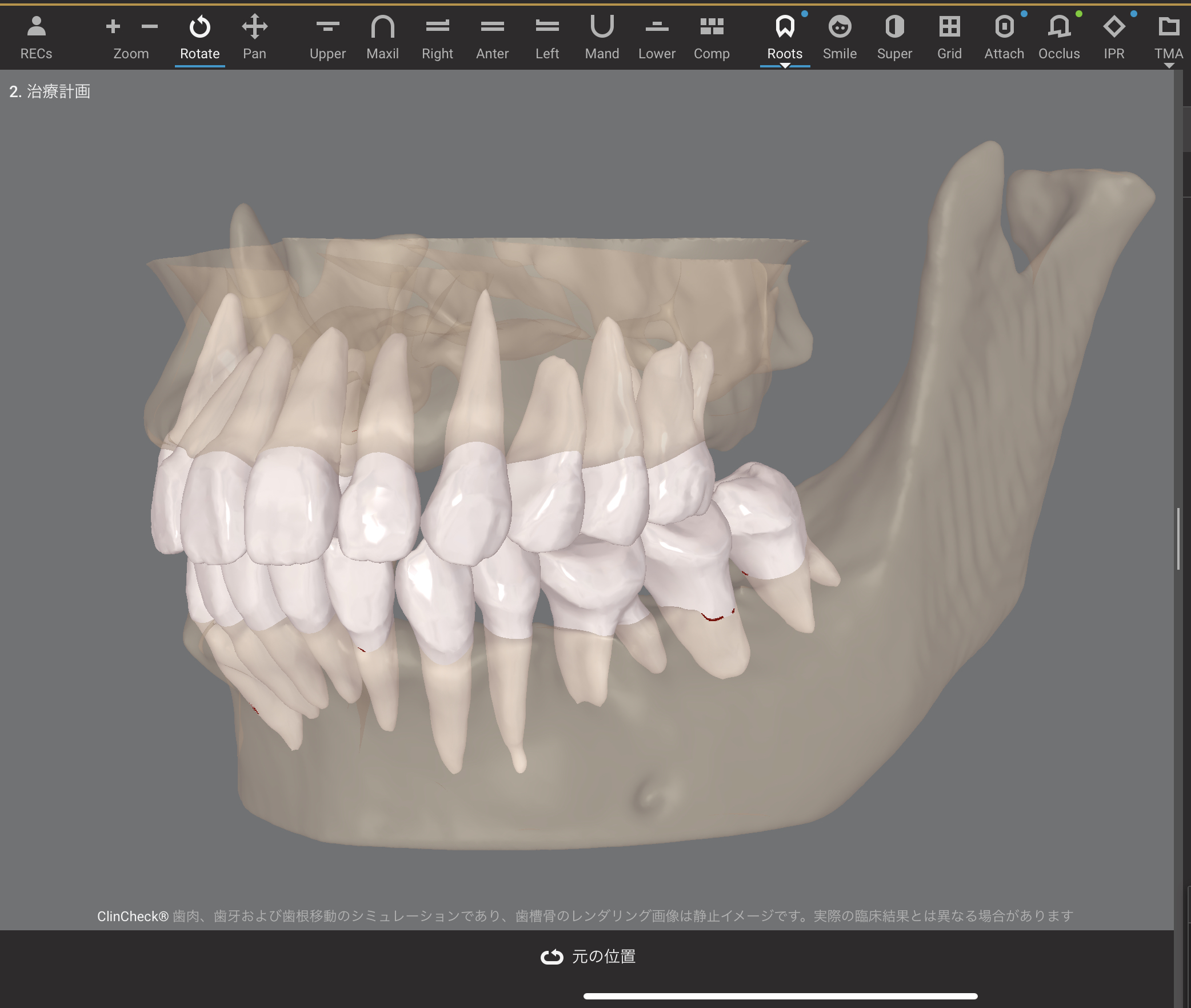
上の画像はCT画像とスキャンデータを統合させ、根と顎の骨、そして歯の見えている部分(歯冠)までわかる最新のシミュレーションソフト

これまでのマウスピース矯正のシミュレーションソフトでは歯の頭の部分の動きしか分かりませんでした。
最近の新しいソフトではCT画像と歯の頭の部分のスキャンデータとを統合することによって、
根と顎の骨と歯冠の関係がわかるようになりました。
これは超画期的です!!飛躍的に矯正治療の精度が上がります。
当院でも早速この新しいシステムを使って矯正治療の設計を行なっています。

標榜科目について

とりあえず今日一日

PAGE TOP