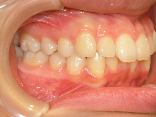
初診時
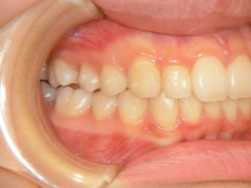
治療中
上の2枚の写真 1枚目は矯正開始前で2枚目は矯正治療中のものです。
2枚目の矯正治療中の写真は奥歯が噛んでいません。マウスピース矯正では残念ながらよく起こる現象です。
さて原因は?ほとんどの矯正専門医は、マウスピースの厚みによる奥歯の圧下が原因と説明しています。
えっ本当????それなら関節症の治療なんかで使うマウスピースでも起きるの?とか前歯も含めた全部の歯で均等に起きるのでは?とか理由としては多くの疑問が残ります
私見ですが、原因は矯正治療中のマウスピースのたわみによる前歯の強い当たり。この辺に原因があるような気がします。
もう一つは下顎の位置の変化(反時計回り)が起きているよう気がします。マウスピースの厚みはほぼ一定です。それを上下に入れると最初は必ず一番奥歯が強くあたります。ここを支点に下顎の位置が少し回転してしまってるように思います。
当院ではできるだけこのような事が起きにくい治療プランを作成していますが、起きてしまっても割と簡単に修正することは可能ですのでご安心ください。




